Noticias de Cantabria

Salud.

Los avances en investigación en enfermedad inflamatoria intestinal permiten al paciente una mejor calidad de vida

Los avances en investigación en enfermedad inflamatoria intestinal permiten al paciente una mejor calidad de vida

Diferentes expertos han llegado a la conclusión que "los avances en investigación en enfermedad inflamatoria intestinal permiten aspirar a una mejor calidad de vida para el paciente". Durante el encuentro informativo de Europa Press `Pasado, presente y futuro en Enfermedad Inflamatoria Intestinal`, organizado por AbbVie, varios especialistas han manifestado que con esta evolución se persiguen nuevos objetivos terapéuticos a largo plazo como la curación mucosa, además de la mejora de la calidad de vida y la ausencia de discapacidad.
El melanoma será el segundo tumor en incidencia global para 2040, según los dermatólogos

El melanoma será el segundo tumor en incidencia global para 2040, según los dermatólogos

La incidencia del cáncer de piel ha aumentado un 40 por ciento en los cuatro últimos años y se estima que en 2040 el melanoma --el tipo de cáncer de piel más agresivo y con peor pronóstico-- se convierta en el segundo tumor en incidencia global y el primero en incidencia en varones, por delante del cáncer de colon y el de pulmón, según han advertido desde la Fundación Piel Sana, de la Academia Española de Dermatología y Venereología (AEDV).
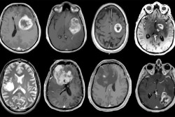
Un proceso metabólico en las células cancerosas podría conducir a un posible tratamiento para el glioblastoma

Un proceso metabólico en las células cancerosas podría conducir a un posible tratamiento para el glioblastoma

Un estudio dirigido por investigadores del Centro Oncológico Integral Jonsson de la Universidad de California Los Ángeles (UCLA), en Estados Unidos, ha descubierto que actuar sobre un proceso metabólico en personas con una mutación genética específica podría ayudar a tratar el glioblastoma, un agresivo cáncer cerebral, según publican en la revista `Cancer Cell`.
Murcia, Melilla y Madrid, las CCAA con mayor número de pacientes por médico al día en Atención Primaria, según informe

Murcia, Melilla y Madrid, las CCAA con mayor número de pacientes por médico al día en Atención Primaria, según informe

Murcia, Melilla y la Comunidad de Madrid son las comunidades autónomas con mayor presión asistencial en Atención Primaria, mientras Cataluña, Aragón y Castila y León son las que menos tienen, según el informe `El deterioro de la Atención Primaria: factores que explican la presión asistencial y propuestas para reducirla`, elaborado por el Centro de Políticas Económicas EsadeEcPo con datos de la Fundación CIVIO.
La evolución del cáncer de mama metastásico es similar en subgrupos tumorales con baja o nula expresión de HER2

La evolución del cáncer de mama metastásico es similar en subgrupos tumorales con baja o nula expresión de HER2

Un análisis del estudio RegistEM revela que la evolución del cáncer de mama metastásico es similar en subgrupos tumorales con baja o nula expresión de HER2, es decir que la enfermedad avanzada no está condicionado por la presencia de HER2-low (aquellos que presentan cierto grado de sobreexpresión de la proteína HER2) o HER2-0 (sin sobreexpresión de HER2), sino por la presencia o no de receptores hormonales.
El 40% de los ingresos críticos en hospitales son por lesiones de siniestros de tráfico

El 40% de los ingresos críticos en hospitales son por lesiones de siniestros de tráfico

Las lesiones por siniestros de tráfico siguen siendo, con un 40 por ciento, el tipo de lesión que más ingresos críticos por lesión grave traumática representa en las Unidades de Cuidados Intensivos (UCI) de los hospitales, seguidas de las caídas con un 22 por ciento, los accidentes laborales con un 10 por ciento, las agresiones con un ocho por ciento o los intentos de suicidio con un siete por ciento.
Investigadores del CSIC descubren que moléculas sintéticas de ARN inducen una respuesta inmune para el Covid-19

Investigadores del CSIC descubren que moléculas sintéticas de ARN inducen una respuesta inmune para el Covid-19

Un grupo de investigadores del Consejo Superior de Investigaciones Científicas (CSIC) en el Centro de Biología Molecular Severo Ochoa (CSIC-UAM) y en el Instituto Nacional de Investigación y Tecnología Agraria y Alimentaria (INIA) han descubierto que unas moléculas sintéticas de ARN no codificante derivadas de un genoma viral (del virus de la fiebre aftosa) desencadenan una respuesta inmune que bloquea la infección por SARS-CoV-2 y por otros coronavirus animales y humanos.