Noticias de Cantabria

Salud.

Izpisua consigue revertir con seguridad los signos de envejecimiento en ratones gracias al rejuvenecimiento celular

Izpisua consigue revertir con seguridad los signos de envejecimiento en ratones gracias al rejuvenecimiento celular

Un equipo de investigadores liderado por Juan Carlos Izpisua Belmonte, catedrático de Biología del Desarrollo de la UCAM y profesor del Laboratorio de Expresión Génica del Instituto Salk en California (Estados Unidos), ha conseguido rejuvenecer ratones sin que generen tumores ni ningún otro problema de salud, gracias a la terapia de rejuvenecimiento celular.

La bebidas edulcoradas con fructosa líquida aceleran la enfermedad del hígado graso por dietas altas en grasas

Una dieta rica en grasas no es suficiente para provocar la enfermedad del hígado graso a corto plazo. Ahora bien, si esta dieta se combina con el consumo de bebidas edulcoradas con fructosa líquida, se acelera la acumulación de grasas en el hígado y aparece un cuadro de hipertrigliceridemia, un factor de riesgo cardiovascular, según muestra una investigación de la Facultad de Farmacia y Ciencias de la Alimentación, el Instituto de Biomedicina de la Universidad de Barcelona (IBUB) y el CIBEROBN.
Las estatinas podrían ayudar a frenar las metástasis, según un nuevo estudio

Las estatinas podrían ayudar a frenar las metástasis, según un nuevo estudio

Muchas personas tienen que tomar estatinas para reducir sus niveles de colesterol. Pero las estatinas podrían hacer aún más. Investigadores alemanes han publicado un estudio en la revista científica `Clinical and Translational Medicine` que muestra que estos fármacos inhiben un gen que favorece la metástasis de las células cancerosas.
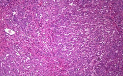
Investigadores españoles describen la proteína Espinofilina como supresor tumoral multifuncional

Investigadores españoles describen la proteína Espinofilina como supresor tumoral multifuncional

El grupo de Biología molecular del cáncer, dirigido por Amancio Carnero, investigador del CSIC en el Instituto de Biomedicina de Sevilla/Hospital Universitario Virgen del Rocío/US/CSIC y perteneciente al CIBERONC, ha publicado una revisión en la que se describe la proteína Espinofilina como un supresor tumoral con implicación en distintos tumores humanos, como cáncer de pulmón, cáncer de mama, glioblastoma, cáncer de colon y gástrico, entre otros.

Los 27 acuerdan reabrir la frontera exterior a los turistas plenamente inmunizados con vacunas reconocidas por la UE

Los Veintisiete han acordado este martes reabrir su frontera exterior a los turistas extracomunitarios que acrediten haber recibido la pauta completa de vacunación contra el coronavirus con uno de los sueros reconocidos por la Unión Europea, lo que les permitirá desplazarse a los países de la UE sin estar sometidos a restricciones adicionales como cuarentenas o test en llegada.

La composición del microbioma intestinal predice la aparición de diabetes tipo 2,

La composición del microbioma intestinal predice la aparición de diabetes tipo 2, según un estudio realizado por un grupo de investigación internacional que utilizó técnicas de aprendizaje automático específicas para descubrir si señales específicas en la composición del microbioma intestinal estaban asociadas con un mayor riesgo de l enfermedad.
Un estudio identifica los genes que más predisponen a sufrir infartos

Un estudio identifica los genes que más predisponen a sufrir infartos

Un importante estudio realizado por un equipo del Instituto de Investigación Cardíaca Victor Chang, la Facultad de Medicina Icahn del Monte Sinaí de Nueva York y otros centros de Europa y Estados Unidos ha identificado los genes más importantes que causan enfermedades coronarias y desencadenan ataques al corazón.

Investigadores del CNIO identifican fármacos potencialmente capaces de reducir la mortalidad de la Covid-19

Investigadores del Centro Nacional de Investigaciones Oncológicas (CNIO) han identificado fármacos que potencialmente podrían ayudar a reducir la mortalidad en los enfermos más graves de COVID-19, basándose en su poder para frenar esta tempestad química. Su uso podría, además, ser extensivo a otras patologías en las que también se produce este fenómeno inflamatorio.
Médicos de la Fundación Jiménez Díaz realizan una operación pionera al intervenir un aneurisma a través de la muñeca

Médicos de la Fundación Jiménez Díaz realizan una operación pionera al intervenir un aneurisma a través de la muñeca

La Unidad de Neurorradiología Intervencionista de la Fundación Jiménez Díaz ha realizado una operación pionera en España y Europa, se trata de la primera intervención ambulatoria, con anestesia local, de un aneurisma cerebral por vía radial a través de la muñeca, con la paciente despierta y alta en el día, pasadas tan solo seis horas de la intervención.
Identifican un nuevo biomarcador para el diagnóstico precoz del cáncer de páncreas

Identifican un nuevo biomarcador para el diagnóstico precoz del cáncer de páncreas

Investigadores del CSIC han identificado un nuevo biomarcador de diagnóstico precoz para el cáncer de páncreas más común, el adenocarcinoma ductal pancreático, que supone la tercera causa de muerte por cáncer en países desarrollados. El hallazgo es clave ya que permite la detección a través de un análisis de sangre y porque, hasta ahora, no existe ningún biomarcador para la detección temprana del cáncer de páncreas.
 Infectarse antes o después de la vacuna propicia una "superinmunidad" que puede acercar el final de la pandemia

Infectarse antes o después de la vacuna propicia una "superinmunidad" que puede acercar el final de la pandemia

Una nueva investigación de laboratorio de la Universidad de Ciencias y Salud de Oregón, en Estado Unidos, ha revelado más de un camino hacia la `superinmunidad` frente al COVID-19 al descubrir que dos formas de inmunidad --las infecciones tras la vacunación o la infección natural seguida de vacunación-- proporcionan niveles aproximadamente iguales de protección inmunitaria reforzada, según publican sus autores en línea en la revista `Science Immunology`. E interpretan que cada nuevo avance de la infección acerca potencialmente la pandemia al final.
La vacuna de Moderna es más efectiva que Pfizer para prevenir contagios y hospitalizaciones, según estudio

La vacuna de Moderna es más efectiva que Pfizer para prevenir contagios y hospitalizaciones, según estudio

Un estudio revela un menor número de infecciones por COVID-19 y un menor riesgo de hospitalización en quienes recibieron la vacuna Moderna en comparación con Pfizer-BioNTech Un nuevo estudio realizado por investigadores de la Facultad de Medicina de la Universidad Case Western Reserve (Estados Unidos) ha revelado que las personas que reciben la vacuna de Moderna contra la COVID-19 tienen menos probabilidades de infección que aquellos a los que se administra la de Pfizer-BioNTech.
España realizó 4.781 trasplantes en 2021, un 8% más que en 2020

España realizó 4.781 trasplantes en 2021, un 8% más que en 2020

España realizó 4.781 trasplantes en 2021, un aumento del 8 por ciento de la actividad trasplantadora respecto al año pasado (4.425), que estuvo marcado por los peores momentos de la pandemia de COVID-19, según el balance de actividad de la Organización Nacional de Trasplantes (ONT).
Realizan el primer trasplante de riñones de cerdo editados genéticamente a un paciente con muerte cerebral

Realizan el primer trasplante de riñones de cerdo editados genéticamente a un paciente con muerte cerebral

La Facultad de Medicina Marnix E. Heersink School of Medicine, en Estados Unidos, ha anunciado este jueves el trasplante con éxito de riñones de cerdo modificados genéticamente y de grado clínico en un paciente con muerte cerebral. Estos resultados positivos demuestran cómo los xenotrasplantes podrían resolver la crisis de escasez de órganos en todo el mundo, destacan los autores en el `American Journal of Transplantation`.
Oncólogos abogan por adelantar el cribado de cáncer colorrectal para reducir la incidencia de la enfermedad en jóvenes

Oncólogos abogan por adelantar el cribado de cáncer colorrectal para reducir la incidencia de la enfermedad en jóvenes

En el marco del Simposio Internacional del Grupo de Tratamiento de los Tumores Digestivos (TTD), los oncólogos Alfredo Carrato y Enrique Aranda han advertido sobre el aumento de la incidencia de cáncer colorrectal en jóvenes, por lo que han abogado por disminuir la edad del cribado en España hasta los 40 años, ya que actualmente se realiza a partir de los 50.
Científicos españoles `ponen cara` a proteínas esenciales para la vida celular implicadas en el cáncer o el Alzheimer

Científicos españoles `ponen cara` a proteínas esenciales para la vida celular implicadas en el cáncer o el Alzheimer

Investigadores del Centro Nacional de Investigaciones Oncológicas (CNIO) y del Instituto de Investigación Biomédica (IRB Barcelona) `ponen cara` a unas proteínas esenciales para la vida celular que están implicadas en el cáncer o el Alzheimer. Concretamente, han desvelado el funcionamiento de las proteínas HAT, que sirven de compuertas para la entrada y salida de aminoácidos en las células.
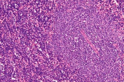
Un tratamiento experimental podría prevenir la metástasis `durmiendo` a las células cancerosas

Un tratamiento experimental podría prevenir la metástasis `durmiendo` a las células cancerosas

Un nuevo enfoque terapéutico impide el crecimiento de tumores metastásicos en ratones al obligar a las células cancerosas a entrar en un estado de letargo en el que son incapaces de proliferar. El estudio, publicado en la revista `Journal of Experimental Medicine`, podría dar lugar a nuevos tratamientos que impidan la reaparición o propagación de varios tipos de cáncer, como el de mama y el carcinoma de células escamosas de cabeza y cuello (HNSCC).