Noticias de Cantabria

Salud.

El reemplazo total de rodilla es rentable para pacientes con artrosis y pacientes con obesidad

El reemplazo total de rodilla es rentable para pacientes con artrosis y pacientes con obesidad

La cirugía de reemplazo total de rodilla es rentable en pacientes con obesidad severa (IMC de 40 kg / m2 o más) y artrosis en etapa terminal. Por lo general, los cirujanos dudan en realizar esta intervención en estos pacientes porque tienden a tener altas tasas de complicaciones después de la cirugía, según un análisis de rentabilidad publicado en `Annals of Internal Medicine`.
La cerveza  tiene beneficios en la salud intestinal

La cerveza tiene beneficios en la salud intestinal

La concentración de ácido butírico, que es la principal fuente de energía del colonocito y estimula la absorción de sodio y agua en el colon, hallada en los consumidores sugiere que una ingesta moderada de cerveza, y otras bebidas fermentadas, podría tener un efecto potencialmente beneficioso sobre la salud intestinal, según un estudio del Instituto de Ciencia y Tecnología de Alimentos y Nutrición (ICTAN-CISC) de Madrid.
Descubren por primera vez cómo acelerar la reparación muscular

Descubren por primera vez cómo acelerar la reparación muscular

Un estudio dirigido por investigadores de la Escuela de Ingeniería Jacobs, de la Universidad de California, en Estados Unidos, proporciona nuevos conocimientos para desarrollar terapias para las enfermedades, lesiones y atrofias musculares, según publican sus autores en la revista `Science Advances`.
Los científicos crean un modelo de un embrión humano temprano a partir de células de la piel

Los científicos crean un modelo de un embrión humano temprano a partir de células de la piel

Un equipo internacional de científicos dirigido por la Universidad de Monash, en Australia, ha generado un modelo de un embrión humano a partir de células de la piel, en lo que supone un descubrimiento que revolucionará la investigación sobre las causas del aborto espontáneo temprano, la infertilidad y el estudio del desarrollo humano en sus primeras fases, según publican sus autores en la revista `Nature`.

Una nueva técnica revela los genes que subyacen a la evolución humana

Una de las mejores formas de estudiar la evolución humana es comparándonos con especies no humanas que, evolutivamente hablando, están estrechamente relacionadas con nosotros. Esa cercanía puede ayudar a los científicos a reducir con precisión lo que nos hace humanos, pero ese alcance es tan estrecho que también puede ser extremadamente difícil de definir. Para abordar esta complicación, los investigadores de la Universidad de Stanford, en Estados Unidos, han desarrollado una nueva técnica para comparar diferencias genéticas.
La alta carga de mutaciones tumorales predice la respuesta a la inmunoterapia en algunos cánceres, pero no en todos

La alta carga de mutaciones tumorales predice la respuesta a la inmunoterapia en algunos cánceres, pero no en todos

Una alta tasa de mutaciones genéticas dentro de un tumor, conocida como carga de mutación tumoral alta (MTA), solo fue útil para predecir las respuestas clínicas a los inhibidores de puntos de control inmunitarios en un subconjunto de tipos de cáncer, según un nuevo estudio dirigido por investigadores de la Universidad de Centro Oncológico MD Anderson de Texas.
El agotamiento vital, vinculado con un mayor riesgo de ataque cardíaco en los hombres

El agotamiento vital, vinculado con un mayor riesgo de ataque cardíaco en los hombres

Los hombres que experimentan agotamiento vital tienen más probabilidades de sufrir un ataque cardíaco, según una investigación presentada este viernes en el ESC Acute CardioVascular Care 2021, el congreso científico en línea de la Sociedad Europea de Cardiología (ESC). El riesgo de un infarto de miocardio relacionado con el agotamiento fue particularmente pronunciado en hombres nunca casados, divorciados y viudos.
La detección selectiva del cáncer de próstata podría prevenir una de cada seis muertes

La detección selectiva del cáncer de próstata podría prevenir una de cada seis muertes

Un programa nacional de detección dirigido a los hombres genéticamente predispuestos al cáncer de próstata que incluya un análisis de sangre y una resonancia magnética antes de una biopsia invasiva, podría prevenir una de cada seis muertes por cáncer de próstata y reducir significativamente el sobrediagnóstico, según un nuevo estudio dirigido por investigadores del University College de Londres (UCL) y la Universidad de Cambridge, publicado en la revista `JAMA Network Open`.

Una sola lesión en la cabeza puede provocar demencia más adelante en la vida

Una nueva investigación ha demostrado que una sola lesión en la cabeza podría provocar demencia más adelante en la vida y este riesgo aumenta a medida que aumenta el número de lesiones en la cabeza sufridas por un individuo. Los hallazgos también sugieren asociaciones más fuertes de traumatismo craneoencefálico con riesgo de demencia entre las mujeres en comparación con los hombres y entre los blancos en comparación con las poblaciones negras.

Desarrollan andamios porosos inyectables que promueven una curación mejor y más rápida en lesiones de la médula espinal

Los investigadores han desarrollado materiales que pueden interactuar con una médula espinal lesionada y proporcionar un andamio para facilitar la curación. Para conseguirlo los materiales deben imitar el tejido natural de la médula espinal, de modo que puedan ser poblados fácilmente por células nativas de la médula espinal rellenando los espacios dejados por la lesión.
Descubren una característica clave que permite que las células cancerosas migren y generen metástasis

Descubren una característica clave que permite que las células cancerosas migren y generen metástasis

Bioingenieros de la Universidad de California en San Diego y la Universidad Estatal de San Diego, en Estados Unidos, han descubierto una característica clave que permite que las células cancerosas se separen del comportamiento celular típico y migren del tejido más rígido en un tumor, arrojando luz sobre el proceso de metástasis y ofreciendo posibles nuevas objetivos para las terapias contra el cáncer, según publican en la revista `Cell Reports`.

Los científicos identifican las células responsables del mantenimiento y la regeneración del tejido hepático

Aunque el asombroso poder regenerador del hígado se conoce desde la antigüedad, las células responsables de mantener y reponer el hígado siguen siendo un misterio. Ahora, una investigación del Instituto de Investigación del Centro Médico Infantil (CRI) de la Universidad de Texas Southwestern, en Estados Unidos, ha identificado las células responsables del mantenimiento y la regeneración del hígado, al tiempo que señala dónde residen en el hígado.
Reprograman células formadoras de cicatrices en la médula espinal para curar las lesiones, en ensayos con ratones

Reprograman células formadoras de cicatrices en la médula espinal para curar las lesiones, en ensayos con ratones

Mediante ingeniería genética, los investigadores del Centro Médico de la Universidad de Texas Southwestern (UTSW) y la Universidad de Indiana, en Estados Unidos, han conseguido reprogramar las células formadoras de cicatrices en la médula espinal de ratones para crear nuevas células nerviosas, lo que estimula la recuperación después de una lesión de la médula espinal. Los hallazgos, publicados en línea en la revista `Cell Stem Cell`, podrían ofrecer esperanza a los cientos de miles de personas en todo el mundo que sufren una lesión de la médula espinal cada año.
La competencia entre las hembras humanas probablemente contribuyó a que la ovulación en las mujeres sea oculta

La competencia entre las hembras humanas probablemente contribuyó a que la ovulación en las mujeres sea oculta

Las mujeres tienen que recurrir ayudas como gráficos, tiras reactivas o tecnología portátil para identificar los períodos de fertilidad, mientras los animales experimentan cambios físicos evidentes durante la ovulación. Una explicación defendida es que ocultar la fertilidad a los machos ayuda a las hembras a obtener recursos de los machos para criar hijos. Pero un nuevo modelo de científicos evolucionistas apunta a que las hembras humanas podrían haber evolucionado para ocultar la ovulación unas a otras y no a los machos.
Descubren cómo se regenera la médula ósea después de la quimioterapia

Descubren cómo se regenera la médula ósea después de la quimioterapia

La quimioterapia tiene un efecto dañino sobre las células madre y progenitoras hematopoyéticas (HSPC) en la médula ósea. Sin embargo, una vez que finaliza la quimioterapia, las HSPC se regeneran, un proceso que ha permanecido desconocido hasta ahora. En un nuevo estudio, investigadores de la Universidad de Osaka, en Japón, han identificado el mecanismo molecular por el cual las HSPC se recuperan después de una lesión, según publican en el `Journal of Experimental Medicine`.
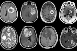
Descubierto nuevo objetivo de inmunoterapia para tumores cerebrales malignos

Descubierto nuevo objetivo de inmunoterapia para tumores cerebrales malignos

Los científicos aseguran haber descubierto un nuevo objetivo potencial para la inmunoterapia de los tumores cerebrales malignos, que hasta ahora se han resistido a la inmunoterapia, el innovador tratamiento del cáncer basado en el aprovechamiento del sistema inmunológico del cuerpo. El descubrimiento, publicado en la revista `CELL`, de momento no tiene implicaciones inmediatas para el tratamiento de los pacientes, advierten los investigadores.
Investigadores observan que el déficit nutricional de la dieta vegana puede repercutir en la salud ósea

Investigadores observan que el déficit nutricional de la dieta vegana puede repercutir en la salud ósea

La dieta vegana está de moda y saber cómo este tipo de dieta afecta la salud es tema que centra cada vez más estudios científicos. En esta ocasión, un grupo de investigadores alemanes partida de la idea de que la nutrición juega un papel importante en la salud ósea, y, por tanto, querían saber hasta qué punto una dieta con cierto deficit nutricional como es la vegana puede repercutir en los huesos.
Fisioterapeuta advierte de que escribir con un teléfono móvil podría multiplicar por cuatro la presión sobre la columna

Fisioterapeuta advierte de que escribir con un teléfono móvil podría multiplicar por cuatro la presión sobre la columna

Escribir con un teléfono móvil podría multiplicar por cuatro la presión sobre la columna, ya que "mantener la cabeza agachada aumenta la carga que soporta habitualmente la columna cervical, causando daño sobre ella", según advierte el responsable de fisioterapia en el Hospital Instituto Musculoesquelético Europeo (IMSKE), Pablo Martínez, que explica que a este fenómeno ya se le conoce como el síndrome de `text neck`.
ADN antiguo revela pistas sobre cómo la tuberculosis moldeó el sistema inmunológico humano

ADN antiguo revela pistas sobre cómo la tuberculosis moldeó el sistema inmunológico humano

Un nuevo estudio que emplea ADN humano antiguo ha revelado cómo la tuberculosis ha afectado a las poblaciones europeas durante los últimos 2.000 años, específicamente el impacto que la enfermedad ha tenido en el genoma humano. Este trabajo, que se publica en la revista `American Journal of Human Genetics`, tiene implicaciones para estudiar no solo la genética evolutiva, sino también cómo la genética puede influir en el sistema inmunológico.
Los científicos encuentran un nuevo tipo de células implicadas en el dolor crónico y la inflamación

Los científicos encuentran un nuevo tipo de células implicadas en el dolor crónico y la inflamación

Una de las características distintivas del dolor crónico es la inflamación, y los científicos de la Facultad de Medicina de la Universidad de Carolina del Norte (UNC) han descubierto que las células antiinflamatorias llamadas macrófagos MRC1 + son disfuncionales en un modelo animal de dolor neuropático. Devolver estas células a su estado normal podría ofrecer una ruta para tratar el dolor debilitante causado por daño a los nervios o un sistema nervioso que funciona mal.
El colágeno juega un papel protector durante el desarrollo del cáncer de páncreas

El colágeno juega un papel protector durante el desarrollo del cáncer de páncreas

En contra de lo que se creía desde hace tiempo, el colágeno de tipo I producido por los fibroblastos asociados al cáncer no favorece el desarrollo del cáncer, sino que desempeña una función protectora en el control de la progresión del cáncer de páncreas, informa un nuevo estudio de investigadores del MD Anderson Cancer Center de la Universidad de Texas. Este nuevo conocimiento respalda nuevos enfoques terapéuticos que refuerzan el colágeno en lugar de suprimirlo.
Satse pide al Gobierno y CCAA un decálogo de actuaciones para reforzar y mejorar la Atención Primaria

Satse pide al Gobierno y CCAA un decálogo de actuaciones para reforzar y mejorar la Atención Primaria

El sindicato de Enfermería (Satse) ha reclamado al Gobierno y a las comunidades autónomas el desarrollo de un decálogo de actuaciones y medidas para mejorar y reforzar la atención y cuidados que se prestan a ciudadanos y pacientes en el ámbito de la Atención Primaria, una vez que la pandemia de la Covid-19 ha agravado el "deterioro progresivo que sufre desde hace años este importante nivel asistencial".
Realizarse mamografías de forma regular sin saltarse ninguna reduce sustancialmente el riesgo de morir de cáncer de mama

Realizarse mamografías de forma regular sin saltarse ninguna reduce sustancialmente el riesgo de morir de cáncer de mama

La asistencia a mamografías de forma regular reduce sustancialmente el riesgo de morir de cáncer de mama, según un gran estudio realizado sobre más de medio millón de mujeres, publicado en la revista `Radiology`. Los investigadores añaden que las mujeres que se saltan incluso una mamografía programada antes de un diagnóstico de cáncer de mama enfrentan un riesgo significativamente mayor de morir a causa del cáncer.
Completan el primer análisis exhaustivo de las mutaciones de las histonas asociadas al cáncer en el genoma humano

Completan el primer análisis exhaustivo de las mutaciones de las histonas asociadas al cáncer en el genoma humano

Los investigadores del Laboratorio Muir del Departamento de Química de la Universidad de Princeton, en Estados Unidos, han realizado el primer análisis completo de mutaciones de histonas asociadas al cáncer en el genoma humano, con caracterizaciones bioquímicas y celulares de estos sustratos. El estudio informa que las mutaciones de histonas que perturban la remodelación del nucleosoma pueden contribuir al desarrollo o progresión de una amplia gama de cánceres humanos.
Descubren un nuevo linfocito que mata las células cancerosas

Descubren un nuevo linfocito que mata las células cancerosas

Los tratamientos para combatir los tumores se basan principalmente en linfocitos T CD8. Un equipo de investigación dirigido por la Universidad de Ginebra (UNIGE) en Suiza, ha investigado los linfocitos T CD4 y han descubierto que cuando los pusieron directamente en contacto cercano con las células cancerosas, hasta un tercio de ellas también podían matarlas. Este significativo descubrimiento amplía las perspectivas terapéuticas basadas en la administración de linfocitos T CD4 a pacientes resistentes a las terapias convencionales.