Noticias de Cantabria
Salud y bienestar 23-07-2021 07:00

Investigadores revierten el enfisema en ratones inyectando células de la pared de los vasos sanguíneos

Investigadores del Weill Cornell Medicine y NewYork-Presbyterian de Nueva York, en Estados Unidos, han descubierto que inyectar a ratones células endoteliales pulmonares, las que recubren las paredes de los vasos sanguíneos del pulmón, puede revertir los síntomas del enfisema.

   El estudio, publicado en el \'Journal of Experimental Medicine\' (JEM), podría conducir a nuevos tratamientos para la enfermedad pulmonar obstructiva crónica (EPOC), una enfermedad pulmonar inflamatoria asociada al tabaquismo que se considera la tercera causa de muerte en todo el mundo.

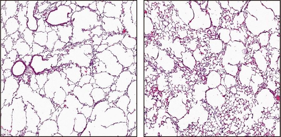
   El enfisema es uno de los rasgos característicos de la EPOC, en la que los diminutos sacos de aire, o alvéolos, del interior de los pulmones se destruyen gradualmente, lo que provoca dificultades para respirar y, finalmente, insuficiencia respiratoria.

   La pérdida de alvéolos va acompañada de una remodelación de los vasos sanguíneos del pulmón que podría indicar cambios en las células endoteliales que forman las paredes de los vasos sanguíneos. En circunstancias normales, las células endoteliales segregan moléculas que ayudan a los tejidos circundantes a mantenerse y repararse, pero las células endoteliales disfuncionales pueden impulsar diversas enfermedades, como la fibrosis tisular y el cáncer.

   "Sin embargo, no está claro si la disfunción endotelial impulsa la fisiopatología de la EPOC o es simplemente la consecuencia de una superficie alveolar dañada", afirma el doctor Augustine M.K. Choi, decano Stephen y Suzanne Weiss de Weill Cornell Medicine y coautor del nuevo estudio.

   Choi y sus colegas descubrieron que varios marcadores de las células endoteliales sanas estaban reducidos en los pulmones de pacientes con EPOC, así como en ratones de laboratorio con una forma inducida de enfisema. De hecho, en las células endoteliales de los pulmones de los ratones con enfisema, numerosos genes estaban asociados a la disfunción endotelial, incluidos los genes que promueven la inflamación, la muerte celular y la remodelación vascular.

   "Tomamos estas características para denotar un estado potencialmente disfuncional que podría impulsar el desarrollo del enfisema --explica el coautor doctor Shahin Rafii, Jefe de la División de Medicina Regenerativa, Director del Instituto de Células Madre Ansary, y el profesor de Medicina Genética en Weill Cornell Medicine--. Esto podría indicar que el restablecimiento de una vasculatura sana -mediante la administración intravenosa de células endoteliales pulmonares normales o la inversión de la señalización aberrante de las células endoteliales- podría favorecer la reparación y regeneración del tejido pulmonar dañado".

   Sorprendentemente, la inyección de células endoteliales pulmonares sanas en ratones redujo la destrucción alveolar asociada al enfisema y restableció la función pulmonar. Otros tipos de células, incluso endoteliales de otros tejidos, no tuvieron ningún efecto beneficioso.

   El equipo investigó entonces el papel de la alfa-2-glicoproteína-1 rica en leucina (LRG1), una proteína de señalización celular vinculada a la nefropatía diabética y a varias formas de cáncer que los investigadores encontraron elevada en las células endoteliales pulmonares de pacientes con EPOC. Los investigadores descubrieron que la eliminación de LRG1 de las células endoteliales protegía a los ratones de la destrucción tisular asociada al enfisema.

   "En conjunto, nuestros datos sugieren que la función de las células endoteliales desempeña un papel fundamental en la patogénesis de la EPOC y el enfisema --afirma la doctora Alexandra Racanelli, coautora e instructora de medicina en Weill Cornell Medicine--. Dirigirse a la biología de las células endoteliales mediante la administración de células endoteliales pulmonares sanas y/o la inhibición de la vía LRG1 puede, por tanto, representar estrategias de inmenso potencial para el tratamiento de pacientes con EPOC o enfisema avanzados".

  

Sé el primero en comentar