Noticias de Cantabria
Salud. 01-02-2021 07:15

Los grandes espacios llenos de líquido en el cerebro ayudar a identificar a las personas en riesgo de demencia

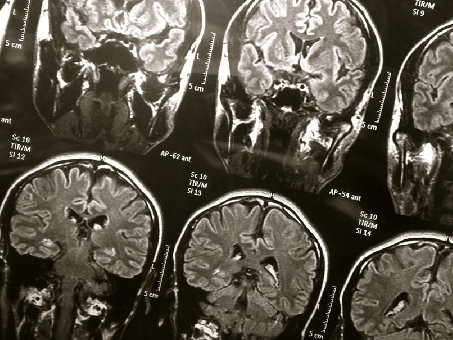
Las personas con espacios agrandados llenos de líquido en el cerebro alrededor de los vasos sanguíneos pequeños pueden tener más probabilidades de desarrollar problemas cognitivos y demencia con el tiempo, según un nuevo estudio publicado en la edición en línea de `Neurology`, la revista médica de la Academia Americana de Neurología.

   Los espacios perivasculares están involucrados en la eliminación de desechos y toxinas del cerebro y pueden estar asociados con los cambios cerebrales asociados con el envejecimiento.

   En el estudio participaron 414 personas con una edad promedio de 80 años, que realizaron pruebas cognitivas de las habilidades de pensamiento y memoria y se les evaluó la presencia de demencia al comienzo del estudio y cada dos años durante ocho años. Se sometieron a escáneres cerebrales de resonancia magnética para verificar espacios perivasculares agrandados en dos áreas clave del cerebro al comienzo del estudio y luego cada dos años durante ocho años.

   La cuarta parte de las personas con el mayor número de espacios perivasculares agrandados, designados como casos graves, se comparó con aquellos con menos o ningún espacio agrandado.

   "La enfermedad del espacio perivascular grave puede ser un marcador de un mayor riesgo de deterioro cognitivo y demencia --explica el autor del estudio Matthew Paradise, de la Universidad de Nueva Gales del Sur en Sydney (Australia)--. Se necesita más investigación para comprender cómo se desarrollan estos espacios ampliados, ya que podrían ser un importante biomarcador potencial para ayudar con el diagnóstico temprano de la demencia".

   Los investigadores encontraron que las personas con la mayor cantidad de espacios perivasculares agrandados en ambas áreas del cerebro tenían casi tres veces más probabilidades de desarrollar demencia durante el estudio que las personas con menos o ningún espacio agrandado.

   Un total de 97 personas (24%) fueron diagnosticadas con demencia durante el estudio. De las 31 personas con casos graves en ambas áreas del cerebro, 12 personas (39%) fueron diagnosticadas con demencia.

   Las personas con agrandamiento severo de los espacios perivasculares en ambas áreas del cerebro también eran más propensas a tener un mayor deterioro cuatro años después en sus puntajes generales de cognición que las personas con agrandamiento leve o ausente de espacios.

   Los resultados persistieron después de que los investigadores ajustaran otros factores que podrían afectar las puntuaciones en las pruebas o el desarrollo de la demencia, como la edad, la presión arterial alta y la diabetes. Los investigadores también tomaron en cuenta otros signos de enfermedad en los pequeños vasos sanguíneos del cerebro, que también pueden ser un signo de riesgo de demencia.

   "Estos resultados sugieren que existe un mecanismo independiente para los espacios perivasculares como un biomarcador de deterioro cognitivo y demencia además de ser un marcador general de enfermedad en los vasos pequeños --relata Paradise--. Por ejemplo, los espacios perivasculares agrandados pueden ser un biomarcador de alteración de la eliminación de desechos en el cerebro".

   Paradise señala que el estudio no prueba que los espacios perivasculares agrandados causen estos problemas de pensamiento y memoria con el tiempo, sino que muestra una asociación.

Sé el primero en comentar