Un estudio cambia el abordaje del tratamiento de la metástasis cerebral en cáncer de pulmón
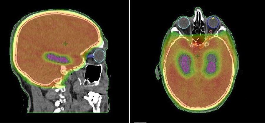
El Servicio de Oncología Radioterápica del Hospital del Mar de Barelona ha coordinado un estudio que demuestra que proteger el hipocampo de la radiación en aquellos pacientes con cáncer de pulmón de células pequeñas que tienen que someterse a radioterapia para evitar la aparición de metástasis en el cerebro es una "estrategia válida" para proteger su memoria sin afectar sus probabilidades de supervivencia.
La revista 'Journal of Clinical Oncology' ha publicado los resultados de este estudio multicéntrico fase III en el cual han participado 13 centros sanitarios del Estado y que está provocando "cambios en la práctica clínica" y en el abordaje de estos casos, informa el hospital en un comunicado este miércoles.
La irradiación preventiva del cerebro en los pacientes con cáncer de pulmón de células pequeñas produce afectación a la memoria en más del 60% de los casos, un hecho que es el "principal motivo de rechazo" al tratamiento.
Con la protección del hipocampo, una pequeña zona situada en la región central del cerebro vinculada, entre otras cosas, a la memoria y al aprendizaje, permite reducir "hasta cinco veces" la afectación sobre la memoria en los pacientes estudiados.
De hecho, en los 150 casos analizados, aquellos en los cuales se protegió esta área tenían una afectación de menos de un 6% en la memoria después de recibir el tratamiento, comparada con cerca del 24% en aquellos que se sometieron al abordaje convencional.
Además, este nuevo enfoque del tratamiento no provocó una mayor afectación a su calidad de vida, no afectó a su supervivencia y no incrementó el riesgo de aparición de metástasis en la zona protegida, destacan sus autores.
Así, la investigadora principal del trabajo, Nuria Rodríguez de Dios, ha abogado por recomendar la protección del hipocampo en estos casos porque evita la pérdida de memoria sin afectar su tasa de supervivencia, no incrementa el riesgo de metástasis en la zona protegida y se mantiene la calidad de vida.
Sé el primero en comentar