Noticias de Cantabria
Sanidad Cantabria 16-01-2023 14:00

Investigadores del IFCA participan en un modelo que predice el pronóstico de un paciente tras una hemorragia

Investigadores del Instituto de Física de Cantabria (IFCA) han participado en la creación de un modelo capaz de predecir el pronóstico, favorable o no, de un paciente tras sufrir una hemorragia intracraneal.

Este ha sido uno de los resultados de la tesis doctoral de Amaia Pérez, médico radióloga del Hospital Universitario de Navarra, durante su residencia en el Hospital Universitario Marqués de Valdecilla (HUMV), y codirigida por Lara Lloret, investigadora del Grupo de Computación Avanzada del IFCA y el doctor de la Universidad de Oviedo, José Antonio Vega.

El estudio, que se ha publicado en la revista Journal of Neuroimaging, cuenta con la participación de David Rodríguez, investigador del IFCA, y un equipo de radiólogos y radiofísicos del Hospital Universitario Marqués de Valdecilla, informa la Universidad de Cantabria (UC) en un comunicado.

Pérez ha explicado que "cuando un paciente tiene una hemorragia intracraneal es difícil saber si va a evolucionar bien o mal" y es "complicado" tomar decisiones en cuanto a darle un tratamiento más intervencionista o más agresivo. "Hemos podido darnos cuenta de lo que puede ser útil en la práctica clínica gracias a tener un equipo de trabajo tan heterogéneo", ha añadido la radióloga.

Partiendo de esa premisa, ha detallado, "nos planteamos hacer un sistema de clasificación intracraneal en función de si el paciente tendría un buen o mal pronóstico, esa era un reto más ambicioso".

"Desde el IFCA, además de la experiencia trabajando con inteligencia artificial y aprendizaje profundo, también hemos aportado la infraestructura", ha subrayado Lara Lloret, quien ha incidido en que no se puede hacer este trabajo de imagen médica, "que son imágenes muy pesadas", con un ordenador personal, ya que hay que utilizar "unidades gráficas de procesamiento, o CPUs", para crear estas redes neuronales profundas.

MODELO HÍBRIDO DE PREDICCIÓN

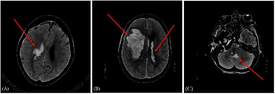
Hasta ahora existían varios modelos de predicción para la detección de la hemorragia cerebral. Lo novedoso en este caso es que se presenta un modelo de aprendizaje profundo que predice el pronóstico de la enfermedad, es decir, si el paciente evolucionará favorablemente o no.

"Incluimos en el estudio a 262 pacientes de Cantabria que llegaban al servicio de urgencias de Valdecilla con sospechas de hemorragia intracraneal y con las imágenes de los distintos TAC cerebrales y sus datos clínicos, entrenamos un modelo personalizado para poder clasificar a los pacientes en mal pronóstico y buen pronóstico, utilizando un modelo híbrido", ha explicado Amaia Pérez.

El modelo se conoce como híbrido porque incluye dos grupos de datos: las imágenes del TAC y datos de cada paciente, y, por tanto, el rendimiento de la red mejora, "a más datos, mejores predicciones". Esos datos se obtienen de información personal, como la edad, sexo, si el paciente es fumador o consumidor de alcohol habitual o si tiene antecedentes médicos, entre otros.

Sé el primero en comentar