Noticias de Cantabria

Salud y bienestar

Para minimizar el número de infecciones, la cantidad importa más que la sensibilidad de las pruebas

Para minimizar el número de infecciones, la cantidad importa más que la sensibilidad de las pruebas

Un análisis computacional de las pruebas de COVID-19 sugiere que, para minimizar el número de infecciones en una población, la cantidad de pruebas importa más que la sensibilidad de las pruebas que se utilizan. Los investigadores Philip Cherian y Gautam Menon, de la Universidad Ashoka de Sonipat (India), y Sandeep Krishna, del Centro Nacional de Ciencias Biológicas TIFR de Bangalore (India), presentan sus conclusiones en la revista de acceso abierto `PLOS Computational Biology`.

El café no aumenta el riesgo de sufrir problemas de ritmo cardíaco

En el mayor estudio de este tipo, una investigación de la Universidad de California (UC San Francisco) no ha encontrado pruebas de que el consumo moderado de café pueda provocar arritmias cardíacas, según un estudio de seguimiento a lo largo de cuatro años publicado en la revista `JAMA Internal Medicine`.
Un nuevo método consigue erradicar el cáncer de mama modelos de ratón

Un nuevo método consigue erradicar el cáncer de mama modelos de ratón

Un nuevo método para tratar el cáncer de mama elimina entre el 95 y el 100% de las células cancerosas en modelos de ratón de cánceres de mama humanos con receptores de estrógeno positivos y sus metástasis en hueso, cerebro, hígado y pulmones. El fármaco recién desarrollado, denominado `ErSO`, reduce rápidamente incluso los tumores grandes hasta niveles indetectables, según publican científicos de la Universidad de Illinois Urbana-Champaign, en Estados Unidos, en la revista `Science Translational Medicine`.
Diseñan un dispositivo portátil que reduce el riesgo de choque en personas ciegas y con discapacidad visual

Diseñan un dispositivo portátil que reduce el riesgo de choque en personas ciegas y con discapacidad visual

Un nuevo estudio ha demostrado que un dispositivo de visión por ordenador que se puede llevar puesto puede reducir en un 37% las colisiones de las personas ciegas o con discapacidad visual que utilizan un bastón largo y/o un perro guía, en comparación con el uso de otros medios de movilidad únicamente, según publican los investigadores de rehabilitación de la visión del Mass Eye and Ear, miembro del Mass General Brigham, en Estados Unidos, en la revista `JAMA Ophthalmology`.
La vitamina C es un ingrediente clave para la función de las células inmunitarias

La vitamina C es un ingrediente clave para la función de las células inmunitarias

Las células T reguladoras (Treg) ayudan a controlar la inflamación y la autoinmunidad en el cuerpo pero hasta ahora ha resultado difícil encontrar los ingredientes moleculares adecuados para inducir Tregs estables inducidas (iTregs). Ahora, un nuevo estudio informa que la vitamina C y las proteínas TET pueden trabajar juntas para dar a los Tregs su poder para salvar vidas.
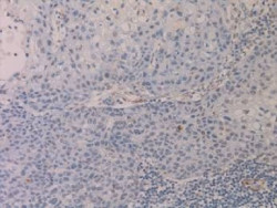
Descubren cómo las células cancerosas que se extienden hasta los ganglios linfáticos evitan la destrucción inmunitaria

Descubren cómo las células cancerosas que se extienden hasta los ganglios linfáticos evitan la destrucción inmunitaria

Experimentos realizados por investigadores del Hospital General de Massachusetts (MGH) y la Facultad de Medicina de la Universidad de Boston, en Estados Unidos, han permitido conocer los detalles cómo las células cancerosas que se extienden, o hacen metástasis, a los ganglios linfáticos suelen evitar ser eliminadas por las células inmunitarias, lo que podría ayudar a los científicos a desarrollar estrategias para superarla, según publican en `Nature Biomedical Engineering`.

La buprenorfina en urgencias puede mejorar los resultados del tratamiento de los trastornos por consumo de opiáceos

El tratamiento con altas dosis de buprenorfina administrado en los servicios de urgencias es seguro y bien tolerado por las personas con trastorno por consumo de opiáceos que experimentan síntomas de abstinencia, según un estudio apoyado por el Instituto Nacional sobre el Abuso de Drogas (NIDA) de los Institutos Nacionales de Salud de Estados Unidos y publicado en la revista `JAMA Network Open`.
El `tráfico` de glóbulos rojos contribuye a los cambios en la oxigenación del cerebro

El `tráfico` de glóbulos rojos contribuye a los cambios en la oxigenación del cerebro

Un flujo sanguíneo adecuado suministra oxígeno y nutrientes al cerebro, pero la oxigenación tiende a fluctuar de forma distinta y constante y el origen de estas variaciones no se conocía bien. Ahora, investigadores de la Universidad de Pensilvania, en Estados Unidos, han identificado que una de las causas es la aleatoriedad inherente a la velocidad de flujo de los glóbulos rojos a través de unos diminutos vasos sanguíneos llamados capilares.

El índice de masa corporal como factor de riesgo de diabetes varía en todo el mundo

El aumento sin precedentes del sobrepeso y la obesidad en los países de renta media y baja (PRMB) ha provocado un alarmante incremento de la diabetes en estas regiones. De los 463 millones de personas que se calcula que padecen diabetes en todo el mundo, el 79% vive en estos países. Pero hasta ahora había pocos datos empíricos para orientar a los médicos y a los sistemas sanitarios a la hora de determinar qué personas deben someterse a pruebas de detección de la diabetes en función del índice de masa corporal (IMC).
Confirma la efectividad del ejercicio físico en adultos con depresión, aunque menor que el tratamiento farmacológico

Confirma la efectividad del ejercicio físico en adultos con depresión, aunque menor que el tratamiento farmacológico

Investigadores españoles han confirmado la efectividad del ejercicio físico en adultos mayores con depresión leve a moderada, no obstante al comparar ésta con la efectividad del tratamiento con fármacos antidepresivos habitualmente utilizados en la práctica clínica, han observado que a medio largo plazo los beneficios fueron mayores con el tratamiento farmacológico.
La radioterapia de baja dosis combinada con la inmunoterapia erradica el cáncer metastásico en ratones

La radioterapia de baja dosis combinada con la inmunoterapia erradica el cáncer metastásico en ratones

Científicos de la Facultad de Medicina de la Universidad de Pittsburgh y de la Universidad de Wisconsin-Madison, en Estados Unidos, han descubierto que la combinación de la terapia radiofarmacéutica dirigida con la inmunoterapia potencia significativamente la erradicación del cáncer metastásico en ratones, incluso cuando la radiación se administra en dosis demasiado bajas para destruir el cáncer por completo, según publican en la revista `Science Translational Medicine`.

Un nuevo tipo de célula cerebral humana ayuda a las personas a navegar por sus mapas personales del mundo

Neurocientíficos de la Escuela de Ingeniería y Ciencias Aplicadas de la Universidad de Columbia, en Estados Unidos, han descubierto un tipo de célula cerebral humana hasta ahora desconocida parece ayudar a las personas a centrarse en sus mapas personales del mundo. Este hallazgo arroja luz sobre los mecanismos celulares que subyacen a la navegación y la memoria en los seres humanos, así como sobre las partes del cerebro que podrían verse alteradas durante los tipos de deterioro de la memoria comunes en enfermedades neurodegenerativas como el Alzheimer.
Desarrollan el primer reloj del sistema inmunitario que predice las enfermedades del envejecimiento y la mortalidad

Desarrollan el primer reloj del sistema inmunitario que predice las enfermedades del envejecimiento y la mortalidad

Investigadores de la Facultad de Medicina de la Universidad de Stanford y del Instituto Buck de Investigación sobre el Envejecimiento, en Estados Unidos, han creado un reloj inflamatorio del envejecimiento (iAge) que mide la carga inflamatoria y predice la multimorbilidad, la fragilidad, la salud inmunológica, el envejecimiento cardiovascular y también se asocia con una longevidad excepcional en centenarios.
La terapia con testosterona reduce el infarto y el ictus

La terapia con testosterona reduce el infarto y el ictus

La administración de suplementos de testosterona reduce significativamente los infartos de miocardio y los accidentes cerebrovasculares en hombres con niveles anormalmente bajos de la hormona, según una nueva investigación presentada en el congreso de la Asociación Europea de Urología.
El nuevo uso de un viejo fármaco reduce el riesgo de reaparición del cáncer de riñón

El nuevo uso de un viejo fármaco reduce el riesgo de reaparición del cáncer de riñón

El uso de un fármaco ya existente en tratamiento el cáncer de riñón en fase tardía en una etapa más temprana de la enfermedad podría reducir el riesgo de reaparición del cáncer en un tercio, según un ensayo de fase III presentado en el congreso de la Asociación Europea de Urología (EAU21). Existe un alto riesgo de que el cáncer de riñón reaparezca tras la intervención quirúrgica para extirpar los tumores, pero en la actualidad no existe ningún tratamiento que ayude a prevenirlo.
Medicamentos de prescripción comunes pueden aumentar el riesgo de desarrollar resistencia a los antibióticos

Medicamentos de prescripción comunes pueden aumentar el riesgo de desarrollar resistencia a los antibióticos

Una nueva investigación presentada en el Congreso Europeo de Microbiología Clínica y Enfermedades Infecciosas (ECCMID) de este año, que se celebra en línea (9-12 de julio), sugiere que tres clases de fármacos comúnmente prescritos que no son antibióticos --inhibidores de la bomba de protones (IBP), betabloqueantes y antimetabolitos-- podrían dar lugar a infecciones resistentes a los antibióticos causadas por bacterias de la familia Enterobacteriaceae, según una nueva investigación presentada en el Congreso Europeo de Microbiología Clínica y Enfermedades Infecciosas (ECCMID).
Un nuevo concepto de fármaco ataca el cáncer de próstata en fase avanzada

Un nuevo concepto de fármaco ataca el cáncer de próstata en fase avanzada

Un nuevo tipo de fármaco ataca con éxito los cánceres de próstata resistentes al tratamiento y prolonga la vida de los pacientes. El tratamiento administra radiación beta directamente a las células tumorales, es bien tolerado por los pacientes y los mantiene con vida durante más tiempo que el tratamiento estándar, según ha revelado un ensayo de fase 3 presentado en el congreso de la Asociación Europea de Urología, EAU21.