Noticias de Cantabria

Salud.

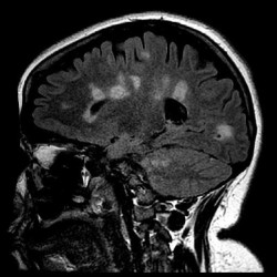
La falta de vitamina D provoca demencia, según un estudio

La demencia es una de las principales causas de discapacidad y dependencia entre las personas mayores de todo el mundo, y afecta al pensamiento y al comportamiento a medida que se envejece. Pero, ¿y si se pudiera frenar esta enfermedad degenerativa en seco? Ahora, un pionero estudio genético de la Universidad del Sur de Australia ha mostrado una relación directa entre la demencia y la falta de vitamina D.

La hepatitis aguda de origen desconocido afecta a 36 niños en España

Europa ya contabiliza 402 casos de la hepatitis aguda de origen desconocido en menores de 16 años, de los que 36 se han producido en España, según los datos a 9 de junio del Centro Europeo para el Control y la Prevención de Enfermedades (ECDC, por sus siglas en inglés) y la Oficina Regional para Europa de la Organización Mundial de la Salud (OMS).

Un nuevo estudio encuentra una relación bidireccional entre la enfermedad inflamatoria intestinal y la depresión

Un nuevo estudio del Keck Medicine de la Universidad de California (USC), en Estados Unidos, ha encontrado que los pacientes diagnosticados de EII tenían nueve veces más probabilidades de desarrollar depresión que la población general. Además, sus hermanos que no padecían EII tenían casi el doble de probabilidades de desarrollar depresión, según publican los investigadores en el `Journal of Gastroenterology and Hepatology`. Por el contrario, los pacientes con depresión tenían dos veces más probabilidades de desarrollar EII, y sus hermanos sin depresión tenían más de una vez y media más probabilidades de desarrollar EII.

España suma 34 casos de hepatitis aguda de origen desconocido, con 19 niños hospitalizados, 3 en UCI y un trasplantado

España ya suma 34 casos de hepatitis aguda de origen desconocido, de los que 19 niños han necesitado hospitalización, tres han sido ingresados en unidades de cuidados intensivos (UCI) y uno ha sido trasplantado, según un informe publicado este miércoles por el Centro Europeo para el Control y la Prevención de Enfermedades (ECDC, por sus siglas en inglés) y la Oficina Regional para Europa de la Organización Mundial de la Salud (OMS).
Sanidad confirma 142 casos positivos de viruela del mono en España

Sanidad confirma 142 casos positivos de viruela del mono en España

El Ministerio de Sanidad ha confirmado este martes 142 casos de orthopoxvirus, por lo que se dan por casos positivos de viruela del mono; estos son 10 casos más que los notificados este martes por el laboratorio del Centro Nacional de Microbiología (CNM) del Instituto de Salud Carlos III (ISCIII).

La viruela del mono supera los 250 casos a nivel mundial y la OMS señala que el riesgo para salud pública es "moderado"

La Organización Mundial de la Salud (OMS) ha señalado que el riesgo para la salud pública a nivel mundial de la viruela del mono es "moderado", teniendo en cuenta que "es la primera vez que se notifican casos y grupos de viruela del mono simultáneamente en zonas geográficas muy dispares, y sin vínculos epidemiológicos conocidos con países no endémicos de África Occidental o Central".

Las bacterias intestinales pueden reducir la eficacia de la medicación para la presión arterial, según un estudio

Un nuevo estudio de la Facultad de Medicina y Ciencias de la Vida de la Universidad de Toledo (Estados Unidos) ha demostrado que las bacterias intestinales pueden reducir la eficacia de ciertos medicamentos para la presión arterial. La investigación, publicada en la revista `Hypertension`, ofrece las primeras pistas de por qué algunas personas no responden bien a la medicación.